
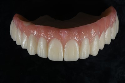
Feldspatik Kaplamalar Nedir?
Feldispat mineralinden yapılan feldspatik kaplamalar geleneksel diş teknolojisinde popüler bir seçimdir. Bu malzeme, yetenekli Çinli diş seramikçileri tarafından ince bir toz haline getirilerek cam benzeri bir seramik haline getiriliyor. İnce feldispat reçinesi katmanları kullanılarak, her bir kaplama, sertifikalı bir diş teknisyeni tarafından el işçiliğiyle üretilir, mükemmel şekilde pişirilir ve yarı saydam ve doğal bir görünüm elde etmek için şekillendirilir. Bu kaplamalar, özellikle Çin'in ADS diş laboratuvarındakiler olmak üzere, yüksek kaliteli diş laboratuvarlarının ayırt edici özelliğidir.
Feldspatik kaplamalar dişlerin görünümünü iyileştirmek için birinci sınıf bir seçimdir. Sertifikalı Shenzhen ADS diş laboratuvarlarında üretilen bu kaplamalar çok sayıda avantaj sunar:

01
Doğal Görünüm
Feldspatik kaplamalar, doğal dişlerinizle kusursuz bir şekilde uyum sağlayacak ve gerçekçi bir gülümseme sağlayacak şekilde özel olarak üretilmiştir. Yarı saydamlıkları doğal emaye görünümünü taklit ederek onları neredeyse tespit edilemez hale getirir.
02
Minimum Diş Hazırlığı
E-max kaplamaların aksine, feldspatik kaplamalar doğal diş yapısını koruyarak minenin çıkarılmasını çok az gerektirir veya hiç gerektirmez. Hazırlanmayan diş kaplamaları Çin diş laboratuarımız tarafından sunulan önemli bir özelliktir.
03
Dayanıklılık
İnce olmasına rağmen (0,3 mm kadar küçük), feldspatik kaplamalar düzgün bir şekilde yapıştırıldığında 10 yıla kadar veya daha fazla dayanabilir.
04
Maliyet Verimliliği
Çin'deki ADS Diş Laboratuvarı, feldspatik kaplamaların makul fiyatlarla sunulmasını sağlayarak birinci sınıf diş çözümlerini herkes için erişilebilir hale getiriyor.
Feldspatik Kaplamalar Kimler İçin Uygundur?

Hazırlanmayan kaplamalara ihtiyaç duyan hastalar.
Minelerinin çoğu sağlam olan dişler.
Düzensiz aralık, renk değişikliği veya hafif deformasyonlar gibi küçük kusurlar.
Estetik talepleri yüksek olan kişiler.
Neden bizi seçmelisiniz?
İşimizi genişletmek için bir kooperatif ortağı arıyoruz.
Küresel Lojistik Çözümleri
FedEx, UPS, DHL ve LINEX ile olan ortaklıklarımız dünya çapında hızlı ve güvenli teslimatı mümkün kılmaktadır.
Shenzhen Diş Laboratuvarı Uzmanlığı
Kaplamalar ve diğer birinci sınıf diş çözümleri konusunda uzmanlaşmış 400'den fazla sertifikalı diş teknisyeniyle Çin'in önde gelen diş laboratuvarıyız. Ekibimiz geleneksel ve ileri diş teknolojilerinde onlarca yıllık deneyime sahiptir.
Özel Müşteri Desteği
40'ı aşkın eğitimli temsilci kesintisiz iletişim ve 363-günlük çevrimiçi destek sağlar.
Hızlı Geri Dönüş Süreleri
Lojistik dahil basit bir vaka sadece 7 günde tamamlanabiliyor.
Kapsamlı Garanti
Tüm feldspatik kaplamalarımız, Çin'deki yüksek kaliteli diş laboratuvarı standartlarına olan bağlılığımızı yansıtan uzun vadeli bir garantiyle birlikte gelir.
Sertifikalı Dental Ürünler
Kaplamalarımız güvenlik, güvenilirlik ve birinci sınıf performans sağlayan CE, FDA ve ISO gibi uluslararası sertifikalara uygundur
Sıkça Sorulan Sorular
Çin ADS diş laboratuvarımızda, yüksek kaliteli diş laboratuvarı çözümleri sunmak için modern işçiliği geleneksel diş teknolojisiyle birleştiriyoruz. Makul fiyatlı diş laboratuvarı hizmetleri için bugün bizimle iletişime geçin ve Shenzhen'in önde gelen kaplama diş laboratuvarının mükemmelliğini deneyimleyin.
E-max kaplamalar ile Feldspatik kaplamalar arasındaki fark nedir?
+
-
Lityum disilikattan yapılan E-Max kaplamalar sağlamlıkları ve dayanıklılıklarıyla bilinir. Bununla birlikte, Shenzhen diş laboratuvarlarında hazırlanan feldspatik kaplamalar, şekil ve rengin daha fazla kişiselleştirilmesine olanak tanıyor. Doğal ve kişiye özel bir görünüm elde etmek için sıklıkla tercih edilirler.
Feldspatik Kaplamalar Ne Kadar İncedir?
+
-
Feldspatik kaplamalar 0,3 mm kadar ince olabilir ve minimum diş hazırlığı gerektirir.
Yapmakes feldspatikkaplamalar diş hazırlığı gerektirir mi?
+
-
Çok az diş hazırlığıyla çok ince feldspatik kaplamalar oluşturulabilir.
Doğal Dişlere Benziyor Mu?
+
-
Evet, feldspatik kaplamalar doğal dişlerinizin rengini, boyutunu ve şeklini taklit ederek kusursuz ve organik görünümlü bir gülümseme yaratmak üzere titizlikle tasarlanmıştır.
Ne Kadar Sürerler?
+
-
Uygun bakım ile feldspatik kaplamalar onlarca yıl dayanabilir. Düzenli fırçalamak, diş ipi kullanmak ve sert yiyeceklerden kaçınmak onların uzun ömürlü olmasını sağlayacaktır.
Popüler Etiketler: feldspatik kaplamalar, Çin feldspatik kaplamalar üreticileri, tedarikçiler, fabrika
